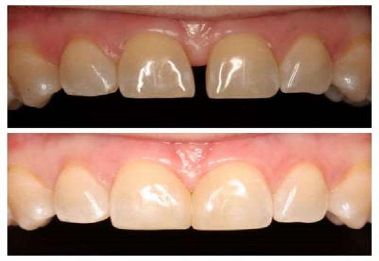
ESTETİK DOLGU NEDİR?

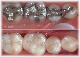
Estetik dolgu ya da diş hekimliğinde kullanılan adıyla kompozit dolgu, hastanın orijinal diş rengine göre ayarlanan ve bu sebeple görsel olarak doğal diş minesinden ayırt edilemeyen dolgulara verilen isimdir.

HANGİ DURUMLARDA ESTETİK DOLGU KULLANILIR?

Estetik açıdan amalgam dolgudan çok daha güzel görünen kompozit dolgu; kırık diş tedavisinde, çürük tedavisinde, diş aşınmasının tedavisinde, diş hassasiyeti yaşayanların bu sorununu yok etmede ve aralıklı diş yapısının tedavisinde kullanılabilmektedir.

ESTETİK DOLGUNUN AVANTAJLARI NELERDİR?

Estetik dolgu, bir gün içinde yani tek seansta uygulanabilir olması en büyük avantajlarındandır. Ayrıca ön dişlere ve arka dişlere uygulanabilir olması da tercih edilmesinin en büyük nedenlerindendir. Bunun yanı sıra beyaz renginin her tonuna uyum sağlayabilmesi, estetik kaygılar yaşayan hastalara büyük avantaj sağlamaktadır. En önemli avantajı ise uygulandıktan hemen sonra dişler rahatlıkla kullanılabilmektedir.